Collagen Products & Supporting Services

August 05, 2024

 

Collagens are a family of fibrillar proteins forming the structural framework of connective tissues such as skin, tendons, joints, and bones. Renowned for their exceptional strength and high elasticity, collagen fibers play a crucial role in maintaining the integrity of connective tissue. In cell culture, collagen is frequently used to mimic the natural extracellular matrix, creating an environment that supports cell attachment and growth. Additionally, collagen is a primary component in many cosmetic formulations due to its moisturizing, regenerating, and film-forming properties. Rockland supports research with a variety of collagen products, including highly cited collagen antibodies, purified collagen proteins, collagen-coated flasks and plates, and raw materials for collagen extraction. Rockland also offers supporting services such as custom antibody production, solutions for impurity detection, and protein expression and purification services.

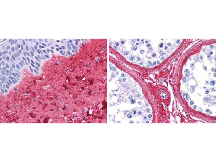
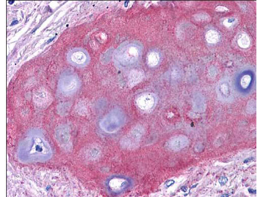
Collagen Antibodies

Collagen antibodies are vital tools in research and diagnostics, used to detect and quantify collagen proteins in various samples. They are essential in studying collagen-related diseases and in the development of collagen-based assays.

Learn more about Collagen Antibodies

Collagen Proteins

Purified collagen proteins are versatile and widely used in cell culture, tissue engineering, and creating supportive environments for cell growth. Additionally, they play a crucial role as controls in experiments involving type-specific anti-collagen antibodies. Using highly purified and type-specific collagen proteins ensures the success of experiments and data reproducibility by being immunologically pure. These standards help optimize antibody performance, leading to high-quality data for understanding collagen biology.

Learn more about Collagen Proteins

Collagen-Coated Flasks and Plates

Collagen-coated flasks and plates are pre-coated with a uniform layer of collagen, simplifying the preparation process for cell culture. These products ensure consistency and reliability, making them ideal for various cell culture applications. Using collagen-coated surfaces offers several significant advantages, such as enhanced cell adhesion, which is essential for maintaining cell viability and function.

Additionally, collagen coatings promote cell spreading and proper morphology, facilitate essential cell signaling pathways, and support the growth of specific cell types, particularly those that are difficult to culture under standard conditions. These surfaces also help create physiologically relevant environments, making them ideal for modeling tissue microenvironments and studying cellular interactions.

Rat tail is a common source of type I collagen used for coating culture dishes. It provides a natural substrate that enhances cell adhesion and proliferation, crucial for experiments requiring a stable and supportive environment.

Supporting Services:

Custom Antibody Production

Collaborative, experienced, and conducted in our own facilities, Rockland’s custom antibody production services can drive your project from the design and synthesis of your antigen through to production and characterization of your antibody.

Learn More

Services for Impurity Detection

A crucial prerequisite in the drug manufacturing process is an efficient analysis of Host Cell Protein (HCP) impurities that result from process-specific expression conditions as well as downstream purification procedures.

Learn More

Protein Expression & Purification

Receive the highly purified proteins, antigens, and antibodies that are critical to your work when you engage with the experienced protein expression and purification services team at Rockland.

Learn More